İlgi Alanlarım

Ortopedi ve Travmatoloji Uzmanı, El Cerrahisi, Mikrocerrahi
Op. Dr. Yiğit Erdağ
Tıp doktorluğu diplomasını 19 Mayıs Üniversitesi Tıp Fakültesinden 2001 yılında almış, ortopedi ve travmatoloji uzmanlık eğitimini Dr. Lütfi Kırdar Kartal EAH Ortopedi ve Travmatoloji Kliniğinde tamamlamıştır. Medical Park ve Emsey Hastanelerinde görev almıştır. Aralık 2022’de kendi kliniğini açmıştır. Şu an, Lokman Hekim İstanbul Hastanesinde görev yapmaktadır. Mikrocerrahi ve el cerrahisi alanlarıyla yakından ilgilenmektedir. Artroskopik cerrahi, protez cerrahisi ve travma cerrahisi konularında derin bir tecrübeye sahiptir.
Tedavi Ettiğimiz Hastalıklar
Parmak, Uzuv Kopmaları
Parmak ve uzuv kopmaları özellikle üretimde çalışan kişilerde söz konusu olabilir. Acil tıbbi müdahale gerekir. Uygun hastalarda kopan uzuv fonksiyonlarını da koruyarak yerine dikilebilir.
Travmalar
Kaza, yaralanma gibi durumlar sonucu oluşan kemik ve eklemlerde meydana gelen kırıklar, çıkıklar cerrahi olarak tedavi edilebilir.
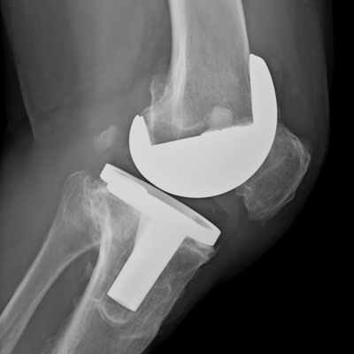
Eklem Protez Cerrahisi
Hareketliliğini kaybetmiş, hastaya ağrı veren kalça, diz ve omuz eklemi protez cerrahisiyle hareketliliğini yeniden kazanabilir.
Spor Yaralanmaları
Profesyonel veya amatör sporcular antrenman/müsabaka esnasında çeşitli sakatlıklar yaşayabilir. Bu yaranmalara cerrahi yolla müdahale etmek gerekebilir.
Eklem Cerrahisi
Omuz, el bileği, parmak, kalça, dirsek, diz, ayak bileği gibi eklemlerde yaşanan sorunlar kapalı cerrahiyle (artroskopi) tedavi edilebilir.
Kliniğimizi Keşfedin
Eklemlerimiz sayesinde hareket eder, yaşamımızı sağlıkla geçiririz. Kliniğimizde el bileği ve dirsek gibi karmaşık yapıya sahip eklemler de dahil tüm eklem hastalıklarıyla yakından ilgileniyoruz. Kliniğimizde uzuv kopmalarından, kalça protezlerine dek çok geniş bir yelpazede hastalarımıza hizmet veriyoruz.
Cerrahi Sonuçlarımız
Tüm ortopedik ameliyatlar her zaman büyük bir özen, dikkat ve nezaket talep eder.
- Dirsek Cerrahisi


